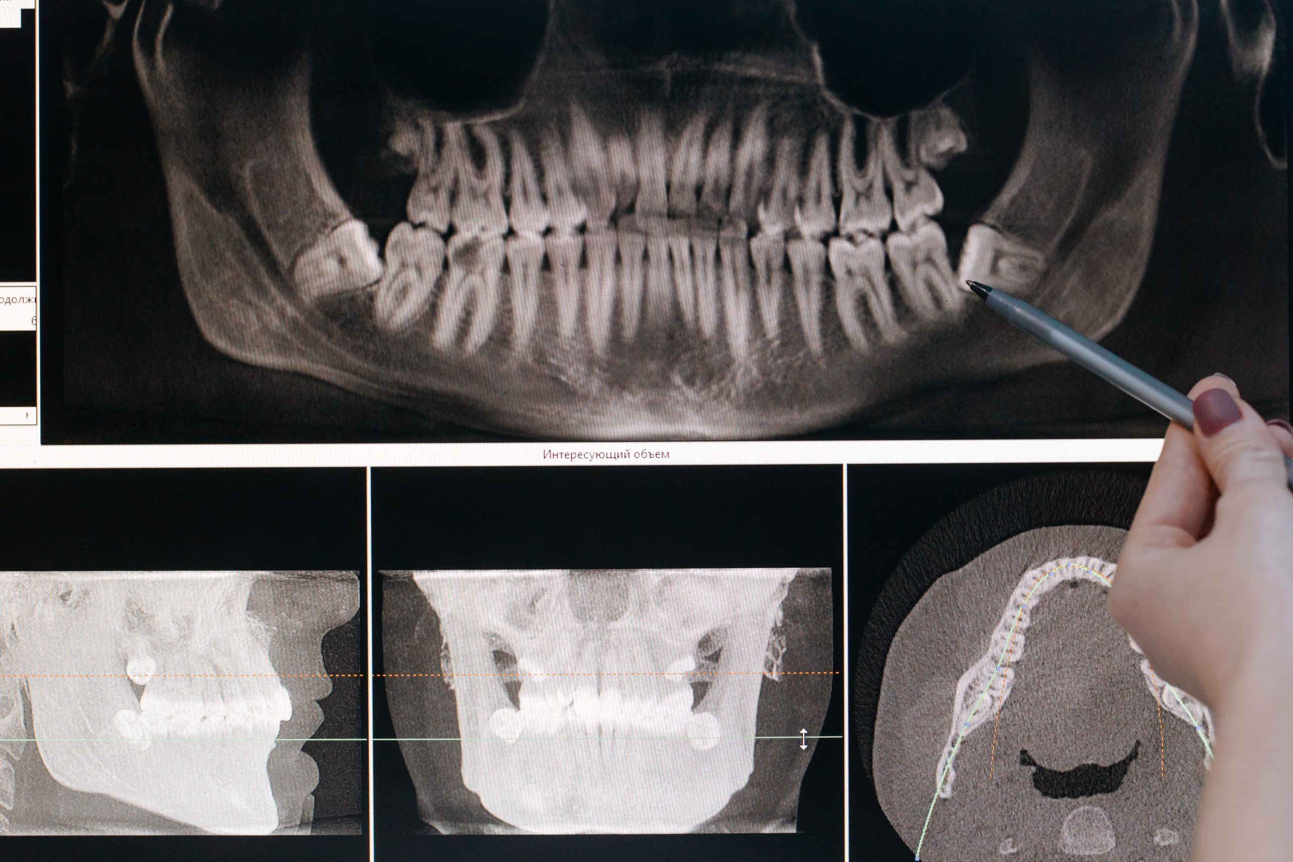
การเอกซเรย์ฟัน คืออะไร?

คือการใช้รังสี เอกซเรย์ฟัน เพื่อถ่ายภาพช่องปาก เป็นรังสีชนิดเดียวกับที่ใช้เอกซเรย์ทางการแพทย์อย่างการเอกซเรย์ปอด ทรวงอก หรือช่องท้อง แต่จะใช้ปริมาณรังสีที่น้อยกว่ามาก จึงมีความปลอดภัยสูง และมีความเสี่ยงในการเกิดผลข้างเคียงน้อยมาก ภาพถ่ายที่ได้จากรังสีเอกซ์นั้น จะเป็นภาพสีขาว – ดำที่มีความเข้มของสีแตกต่างกัน ขึ้นอยู่กับการดูดซับของรังสี โดยจะเห็นกระดูกเป็นสีขาว ในขณะที่ไขมันและเนื้อเยื่ออื่น ๆ ที่ดูดซับรังสีได้น้อยจะเห็นเป็นสีเทา จึงทำให้ทันตแพทย์สามารถตรวจดูสภาพฟันและกระดูกเบ้าฟันได้อย่างละเอียด ช่วยให้สามารถประเมินความเสี่ยงในการเกิดฟันผุ หรือปัญหาฟันต่าง ๆ อาจเกิดขึ้นได้ และวางแผนการรักษาได้อย่างเหมาะสมนั่นเอง

การ เอกซเรย์ฟัน ช่วยวิเคราะห์ปัญหาต่าง ๆ ได้อย่างไร

เมื่อเราไปตรวจสุขภาพฟันและช่องปากครั้งแรก หรือก่อนที่จะเข้ารับการรักษาทางทันตกรรมต่าง ๆ สิ่งแรกที่ทันตแพทย์มักทำก็คือการเอกซเรย์ฟัน หรือ X-Ray ฟัน เพื่อตรวจวิเคราะห์อาการต่าง ๆ เกี่ยวกับฟัน ช่วยให้การวางแผนรักษาทางทันตกรรมมีความแม่นยำมากยิ่งขึ้น นับเป็นอีกหนึ่งขั้นตอนสำคัญที่ขาดไม่ได้เลย

จุดประสงค์ของการเอกซเรย์ฟัน

จุดประสงค์หลักของการถ่ายภาพเอกซเรย์ช่องปากและฟันของคนไข้นั้น ทันตแพทย์จะใช้เป็นแหล่งข้อมูลสำคัญที่ใช้ในการวินิจฉัยโรค และวางแผนรักษาทางทันตกรรมต่าง ๆ ไม่ว่าจะเป็น ถอนฟัน ดูรอยฟันผุ จัดฟัน รักษาโรคเหงือก หรือตรวจหาฟันคุด ไปจนถึงตรวจติดตามผลการรักษา

การ เอกซเรย์ฟัน อันตรายหรือไม่?

การรับปริมาณรังสีที่ทำให้เกิดการเปลี่ยนแปลงของเม็ดเลือดจะอยู่ที่ 0.5 ซีเวิร์ต ซึ่งการเอกซเรย์ทางการแพทย์อย่างเอกซเรย์ปอดจะได้รับรังสีประมาณ 0.0002 ซีเวิร์ตเท่านั้น ดังนั้นการเอกซเรย์ช่องปากและฟันที่มีการได้รับรังสีน้อยกว่านี้มากจึงไม่ทำให้เกิดอันตรายต่อร่างกายแต่อย่างใด อย่างไรก็ตาม มาตรฐานป้องกันอันตรายจากรังสีได้กำหนดไว้ว่า ไม่ให้มีการรับรังสีโดยไม่จำเป็น ไม่ว่าจะมีปริมาณเล็กน้อยเท่าใด การ X – Ray ฟันและช่องปากจึงควรทำกับทันตแพทย์เท่าที่จำเป็นเท่านั้น หากไม่มีข้อบ่งชี้ก็ไม่ควรที่จะทำการเอกซเรย์ เพื่อลดการสัมผัสรังสีให้ได้มากที่สุด

5 ตัวอย่างเอกซเรย์ฟันเพื่อการรักษาทางทันตกรรม

เพื่อให้คุณมองเห็นภาพประโยชน์ของการเอกซเรย์ช่องปากและฟันได้ชัดเจนมากยิ่งขึ้น เราได้รวมเคสตัวอย่างเกี่ยวกับการเอกซเรย์ฟันมาให้แล้ว จะน่าสนใจแค่ไหนนั้น ไปดูกันเลย

1. เอกซเรย์เพื่อถอนฟัน หรือผ่าฟันคุด
เป็นหนึ่งในเคสที่พบบ่อยที่สุด โดยการถ่ายภาพเอกซเรย์จะช่วยให้ทันตแพทย์ศึกษารายละเอียดของฟันที่จะถอน หรือผ่าฟันคุดออกได้ดีขึ้น ไม่ว่าจะเป็น ความโค้งงอของรากฟัน ขนาดของรอยผุที่ส่งผลให้ฟันแตกได้ง่ายขณะถอนฟัน หรือลักษณะและตำแหน่งของฟันคุดว่าอยู่ใกล้กับบริเวณที่ควรระมัดระวังอย่างเส้นประสาทของขากรรไกรล่างไหม  ซึ่งจะช่วยให้การถอนฟันเป็นไปอย่างปลอดภัยมากยิ่งขึ้น

นอกจากนี้หลังจากที่ถอนฟัน หรือผ่าฟันคุดแล้ว ทันตแพทย์อาจนัดให้มาตรวจเอกซเรย์ติดตามผลการรักษาอีกครั้ง ในกรณีที่เกิดปัญหา หรือภาวะแทรกซ้อนหลังถอนฟัน เช่น รากฟันหัก หรือแผลถอนฟันไม่หาย เป็นต้น

2. เอกซเรย์เพื่อดูรอยฟันผุ
ตำแหน่งของรอยฟันผุนั้น หากเกิดขึ้นที่บริเวณด้านประชิด หรือเป็นรอยผุที่มีขนาดเล็ก หรือเป็นรอยผุที่อยู่ใต้ขอบวัสดุอุดฟัน จะตรวจพบได้ยากมาก ซึ่งถ้าหากทันตแพทย์ตรวจไม่พบและปล่อยทิ้งไว้ ก็จะทำให้รอยผุที่เกิดขึ้นนี้ค่อย ๆ ลุกลามจนผุลึกขึ้นเรื่อย ๆ และอาจกลายเป็นฟันผุทะลุโพรงประสาท หรือรากฟันอักเสบ จนต้องสูญเสียฟันเลยก็ได้ การตรวจเอกซเรย์เพื่อตรวจดูรอยฟันผุอย่างละเอียด จึงเป็นอีกทางเลือกหนึ่งที่ช่วยแก้ไขปัญหานี้ได้

3. เอกซเรย์เพื่อรักษารากฟัน
การถ่ายภาพเอกซเรย์เป็นขั้นตอนสำคัญในการรักษารากฟันอย่างมาก เพราะจะช่วยให้ทันตแพทย์ประเมินได้ว่าฟันซี่นั้น ๆ สามารถรักษาคลองรากฟันได้ไหม เนื่องจากการรักษารากฟันมีขั้นตอนที่ยุ่งยากและต้องทำการรักษาหลายครั้ง ไม่ว่าจะเป็น การกำจัดเนื้อฟันที่ผุ กำจัดรากฟันส่วนที่ติดเชื้อและอักเสบ หรืออุดวัสดุคลองรากฟัน ซึ่งแต่ละขั้นตอนล้วนต้องใช้ความละเอียดแม่นยำอย่างสูง

นอกจากนี้การรักษารากฟันจะต้องเอกซเรย์ที่ฟันซี่เดิมซ้ำ ๆ หลายครั้ง เพื่อตรวจติดตามผลการรักษาด้วย ทั้งการตรวจความยาวรากฟัน หรือความสมบูรณ์ของแท่งวัสดุสำหรับอุดครองรากฟัน เพื่อให้การรักษาประสบความสำเร็จ ด้วยเหตุนี้การเอกซเรย์จึงมีส่วนสำคัญอย่างมากในการรักษารากฟันนั่นเอง

4. เอกซเรย์เพื่อรักษาโรคเหงือกอักเสบ
การถ่ายภาพเอกซเรย์จะช่วยให้ทันตแพทย์ตรวจดูระดับความรุนแรงของโรคเหงือกอักเสบ และตรวจดูลักษณะการถูกทำลายของกระดูกที่หุ้มรากฟัน เพื่อวางแผนการรักษาอย่างเหมาะสมได้ โดยในระยะแรกจะยังไม่เห็นการเปลี่ยนแปลงในภาพรังสี แต่ถ้าโรคลุกลามมาก ๆ จนเกิดการอักเสบ จะตรวจพบร่องลึกปริทันต์ และการละลายของกระดูกที่ห้อมรอบรากฟันอยู่ได้นั่นเอง

5. เอกซเรย์ฟัน เพื่อจัดฟัน
ไม่ว่าคุณจะจัดฟันใส Invisalign หรือจัดฟันแบบโลหะ จะต้องทำการเอกซเรย์ช่องปากและฟันเป็นขั้นตอนแรกก่อนเสมอ เพื่อที่ทันตแพทย์จะได้ตรวจดูลักษณะของฟัน กระดูกขากรรไกร กะโหลกศีรษะและใบหน้าโดยละเอียด และวางแผนการรักษาได้อย่างแม่นยำและมีประสิทธิภาพมากที่สุด ซึ่งในบางคนที่เอกซเรย์แล้วเจอฟันคุด ก็จำเป็นที่จะต้องผ่าฟันคุดออกให้เรียบร้อยด้วย